Raymond Chandler: Vysoké okno. Ikonickou detektivku s Philem Marlowem čte Petr Lněnička
Četba na pokračování
Přejít k hlavnímu obsahu | Přejít k hlavnímu menu
Plus
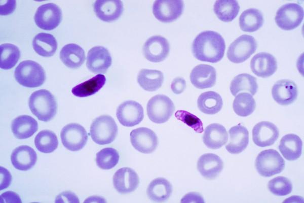
Nejnebezpečnějším původcem malárie je prvok zimnička tropická (Plasmodium falciparum), který se vyskytuje v tropech Afriky, Asie i Ameriky | Foto: public domain, CDC/PHIL
Americkým vědcům se podařilo rozluštit genom parazita Plasmodium falciparum, který způsobuje nejrozšířenější formu tropické malárie. Ročně této nemoci podlehne kolem půl milionu lidí. Lidstvo zatím proti malárii nemá účinnou vakcínu a lékaři upozorňují, že se stále častěji setkávají s nemocnými, na které nezabírá současná léčba. Podle vědců z Jihofloridské univerzity, kteří stojí za rozluštěním genomu, bude díky jejich objevu možné vyvinout účinnější léky.
Ondřej Novák
Raymond Chandler: Vysoké okno. Ikonickou detektivku s Philem Marlowem čte Petr Lněnička
Četba na pokračování
Jiří Hájíček: Dešťová hůl. Román o dávné lásce, rodné půdě a hledání pravdy v minulosti. Čte Jan Holík
Četba na pokračování
Zrůda s tváří dědečka. Vražda barmanky odstartovala závod s časem pro olomouckou kriminálku
Kriminálka
Kateřina Surmanová: O čem skály mlčí. Mystickou detektivku z Českého Švýcarska čte Aleš Procházka
Četba na pokračování
George Farquhar: Galantní lest. Hvězdně obsazená komedie o dvou zchudlých londýnských kavalírech
Hra pro pamětníky
Werner Fritsch: Enigma Emmy Göring. Hana Maciuchová v titulní roli nejlepší rozhlasové hry roku 2010
Hra na neděli
Plus
Výběr nejdůležitějších rozhovorů, analýz a specializovaných pořadů z našeho vysílání.
Raymond Chandler: Vysoké okno. Ikonickou detektivku s Philem Marlowem čte Petr Lněnička
Četba na pokračování
Jiří Hájíček: Dešťová hůl. Román o dávné lásce, rodné půdě a hledání pravdy v minulosti. Čte Jan Holík
Četba na pokračování
Zrůda s tváří dědečka. Vražda barmanky odstartovala závod s časem pro olomouckou kriminálku
Kriminálka
Kateřina Surmanová: O čem skály mlčí. Mystickou detektivku z Českého Švýcarska čte Aleš Procházka
Četba na pokračování
George Farquhar: Galantní lest. Hvězdně obsazená komedie o dvou zchudlých londýnských kavalírech
Hra pro pamětníky
Werner Fritsch: Enigma Emmy Göring. Hana Maciuchová v titulní roli nejlepší rozhlasové hry roku 2010
Hra na neděli